Dental implants are designed to replace damaged or missing teeth. Your new teeth are made of medical-grade titanium posts. They are surgically inserted into the jawbone. The posts replicate real tooth roots and are designed to fuse with the surrounding bone. The ability to fuse ensures implants are strong, stable, and can support a dental crown, bridge, or denture. Replacing missing teeth with implants will provide you with the ability to smile, chew your food, and speak with confidence.
Visit us for consultation in our Sheepshead Bay, Brooklyn NY office with one of the best dental implant specialist Dr. Umanoff at LuxDen Dental Implants Center: ☎ (718) 717-8866
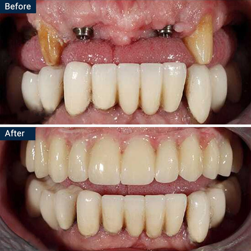
Our advanced immediate load dental implants allow you to regain full function and confidence in your smile without waiting months for healing.
Traditional dental implant treatment can take three to six months, or even longer complete. Now, we can insert and restore your new teeth on the same day. The technique is effective and reliable. Instant teeth provide just as good a treatment outcome as lengthier implant treatments. Read more about Immediate Load Dental Implants.
We only use the highest quality, medical-grade titanium, or zirconia dental implants manufactured by reputable implant companies. These companies developed and clinically tested these implant components. You can be assured you receive an excellent and long-lasting treatment outcome.
Microscope-assisted precision implant dentistry in Brooklyn enhances a specialist’s vision to unprecedented levels. It polishes and finishes tooth margins and contours teeth and teeth implants.
Dental implants have a high success rate and your care is in good hands here at LuxDen Dental Center. We regularly provide dental implants for seniors, ensuring older patients receive safe and predictable outcomes. Dr. Umanoff is highly experienced implant dentist. We use the most advanced techniques to plan and place quality dental implants and to ensure your treatment outcome is successful.
The risk of infection is low because implants are made from biocompatible materials. They fuse with your jawbone during a process called osseointegration for strong support.
Related Article: Important Factors for Successful Dental Implant Treatment
Tooth replacement using our best implants in Brooklyn offers several advantages:
These advantages make dental implants one of the most effective and reliable solutions for restoring both the function and beauty of your smile.
Related Article: Fix Old Dental Implants with Dental Implant Repair
On average, implants can last 20+ years, and many last a lifetime when properly cared for.
Factors that influence how long implants last include:
With the right care and professional maintenance, implants remain one of the most durable and reliable tooth-replacement options available.
The cost of dental implants in Brooklyn can vary depending on several factors, such as the complexity of the case, the type of implant, and the specific dental clinic. On average, a single dental implant in Brooklyn can cost around $2,000 to $5,000.
However, several factors can influence the overall cost:
Consider these factors to better estimate the cost of dental implants. If you have further questions or need personalized dental advice, contact our experts at LuxDen Dental Center today.
Unfortunately, many dental insurance plans still categorize dental implants as elective or cosmetic procedures rather than medically necessary interventions. As a result, coverage may be limited or denied. However, an increasing number of insurance providers are beginning to recognize the functional and health-related advantages of dental implants. If you have both medical and dental insurance, it may be possible to coordinate benefits between the two policies to maximize coverage for artificial tooth replacement, depending on the underlying clinical indication for the implant.
If you’re exploring implant dentistry in Brooklyn, NY, it’s essential to first review your dental insurance policy to see if implants are covered.
You may need to contact the insurance company directly to get answers to specific questions, including:
Our dental team often works with insurance companies and can provide a good estimate of how much of your treatment might be covered. We’re also here to help you fill out any necessary forms, ensuring the process is as smooth and stress-free as possible.
Your first visit to LuxDen Dental Center includes an implant consultation. Dr. Umanoff will review your dental and medical history and explain the treatment in detail, including potential benefits and risks.
Most people are good candidates for dental implants, provided they have overall good health. Since implant placement involves a minor surgical procedure, being in good health is essential.
To be a suitable candidate, you should have:
Patients who smoke are encouraged to quit before treatment, as smoking can:
Certain medical conditions affecting the immune system may also slow healing. This doesn’t automatically rule you out, as advanced techniques now allow treatment for patients who were previously considered ineligible.
If you have specific medical concerns, such as diabetes, we will discuss potential risks for implant treatment. Patients with well-controlled diabetes may still be suitable for dental implants. Our goal is to provide all the information you need so you can make an informed decision about your dental care.
If you’re looking for trusted, long-term solutions for missing teeth, LuxDen Dental Implants Center offers the experience, technology, and personalized care to help you feel confident in your decision. Led by Dr. Leonard Umanoff, a board-certified implantologist with over 20 years of experience, our Brooklyn-based clinic focuses on high-quality, reliable dental implant care tailored to your needs.
Here’s what sets our implant care apart:
Choosing dental implants is a significant decision, and our best-rated implant dentist in Brooklyn, NY, is here to support you throughout the entire process. If you’re considering dental implants in Brooklyn, we’re here to help you restore your smile with both comfort and peace of mind.


Our advanced technology ensures your dental implant procedure is precise and customized from start to finish. Key equipment we use includes:
With this cutting-edge technology, you can be confident you’re receiving the highest level of professional care and the most advanced dental implant treatment available.



At LuxDen Dental Center, we specialize in a range of dental implant procedures. Our expert team uses the latest technology to ensure top-quality care. Whether you need a new implant or are seeking implant repair in Brooklyn, we’re here to help. Explore our dental implant options below and see how we can help you achieve a healthy, beautiful smile.
Much like other dental appliances, there are many types of dental implants available at our dental clinic. Our professional dental team will evaluate your oral health and determine the most appropriate type of implant for you. Crowns can come in different materials such as Porcelain Fused Zirconium, all-Ceramic, Porcelain Fused Metal, or Noble Metal. Dr. Umanoff uses his vast knowledge and experience to select the best material for your treatment.

Read answers to frequently asked questions about tooth implants to find out more about this procedure:
Our patients appreciate the gentle, painless care and personalized attention they receive from the best implant dentist in Brooklyn. From the first visit to full recovery, we focus on comfort, trust, and beautiful results that restore confidence and smiles.
Comment by Dr. Leonard Umanoff:
A patient came to our clinic after losing his first premolars in the upper jaw due to trauma, teeth No. 14 and No. 24 according to the FDI system.
After 3D diagnostics and modeling, we selected narrow-platform implants that are ideal for areas with limited space between the canine and second premolar. The implantation procedure went smoothly. Four months after the implants integrated, we completed the treatment with aesthetic ceramic crowns carefully matched to the natural color of the patient’s enamel.


Patient feedback:
For years, I couldn’t get used to the absence of these two teeth. Chewing was uncomfortable, and I was embarrassed to smile. After the implantation, I finally feel complete. I am very grateful to Dr. Umanoff for his professional approach.
When looking to restore your smile and oral function with dental implants, it’s crucial to select a qualified specialist. The success and durability of dental implants rely on accurate placement and thorough attention to each patient’s unique needs. Experienced implant dentists (prosthodontists) have the training, expertise, and skill to perform implant surgery efficiently, reducing the risk of complications. Their proficiency ensures that implants integrate smoothly with your natural teeth, providing a lasting solution that improves oral health and boosts confidence in your smile.
There are several options if you’re looking for dental implants in your area, including:
LuxDen’s dentists excel in dental implant surgery, utilizing advanced technology and techniques to ensure optimal outcomes. We provide various implant options tailored to meet your specific needs and budget. We prioritize personalized care and aim to create a relaxed, stress-free experience for our patients. If you’re considering dental implants, the first step is to book a consultation. During this appointment, we will discuss your treatment goals, develop a customized plan, and provide a cost estimate.
Dr. Umanoff uses minimally invasive dental burs when drilling the jawbone. This procedure is suitable for people with a bony ridge that may not be high enough or is too narrow. Above all, we provide treatment in comfortable and relaxing surroundings by a professional and caring dental team.
You can trust Dr. Umanoff and the entire dental team at LuxDen Dental Center to take care of you. We are there for you throughout your implant placement and during follow-up care, and whenever you schedule a dental appointment. Dr. Umanoff’s extensive experience and skill, combined with the latest technologies, ensures that every detail of your implant treatment is planned precisely, confidently providing you with the highest standard of care.
If you’re missing a single or multiple teeth, our experienced implant specialists in Brooklyn, led by Dr. Umanoff, can help you decide whether dental implants are the best solution. Call LuxDen Dental Center today at (718) 717-8866 to schedule your personalized consultation for dental implants in Brooklyn.